When you hear that you need a crown, it’s natural to wonder: Why not just get a filling? Many patients ask us about the difference, and the answer comes down to how much damage the tooth has and what’s needed to keep it strong in the long run.

When you hear that you need a crown, it’s natural to wonder: Why not just get a filling? Many patients ask us about the difference, and the answer comes down to how much damage the tooth has and what’s needed to keep it strong in the long run.

A filling is the go-to solution for small cavities. When decay is caught early, we remove the damaged part of the tooth and fill in the space with a strong material like composite resin. This method keeps most of the natural tooth intact while restoring its shape and function.
However, fillings have their limits. If the cavity is too large or the tooth is cracked or weakened, a filling might not provide enough support, leading to further damage over time. That’s when a crown becomes the better option.
A crown is like a helmet for your tooth. It fits over the entire tooth, restoring its shape and protecting it from further damage. Crowns are recommended when:
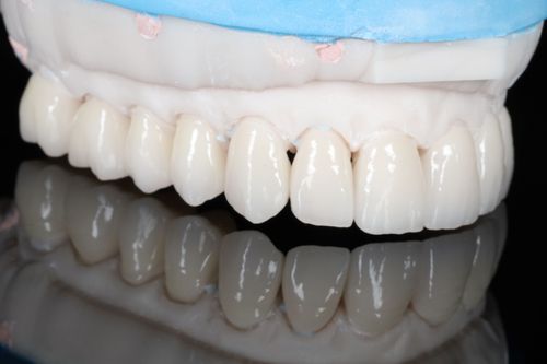
Crowns can be made from different materials, including metal and porcelain-fused-to-metal, but all-ceramic crowns are our favorite. Here’s why:

One of our patients, a man in his late 30s, came to us after cracking a molar while eating. He assumed he just needed a filling, but after examining the tooth, we saw that a filling wouldn’t be enough to keep it stable. If we had simply placed a filling, the tooth would have been at risk of breaking even more.
We recommended an all-ceramic crown to fully protect the tooth while maintaining a natural appearance. After the procedure, he was amazed at how real it looked—it matched his other teeth perfectly, and he could chew comfortably again. Now, he says he doesn’t even notice which tooth has the crown because it feels just like his natural tooth.
If you’ve been told you need a crown, or think you might need a crown—it’s a great way to protect your tooth and keep your smile looking beautiful. Dr. Eck and Dr. Penshorn are fully trained in the most advanced techniques for cosmetic and functional crowns. They want to ensure that every crown fits comfortably and blends naturally with your other teeth.
Not sure what’s best for your tooth? Schedule a consultation with Eck Dental Partners, a dentist near Schertz. We’ll evaluate your gums, discuss your brushing habits, and help you keep your smile healthy without unnecessary damage. Feel free to contact our office at (210) 659-1379.

The start of a new year often inspires change. And for many, it’s the perfect time to invest in boosting confidence.

Missing teeth can impact more than just your smile. Your confidence, ability to eat comfortably, and even your overall health may suffer.

Here’s what you need to know in those critical first moments, what we’ll do to help, and what to expect down the road.

Many patients ask us about the difference, and the answer comes down to how much damage the tooth has and what’s needed to keep it strong in the long run. Learn more here!

Brushing your teeth is essential for a healthy smile, but did you know that brushing too hard can actually do more harm than good?

Our doctors have trained to provide comprehensive dental care without the hassle of referrals—why? expert treatment all in the same dental clinic on FM3009.

Why we spend so much time researching and training on the latest technology.

What Happens During a Dental Checkup?

Are you concerned about why your front teeth look uneven or worn down? This is occlusal attrition. Learn more about this issue from Eck Dental Partners here!

How do you tell the difference between dentures with implants and dentures without implants?

Are you considering dental implants to restore your smile? Understanding how dental implants work can help you make an informed decision.
.jpeg)
In this blog post, we will answer some of the most common questions about dental fillings, providing you with the knowledge you need to take care of your teeth.

If you're about to get your wisdom tooth removed in Schertz and are nervous about the procedure, this article is for you.

Not everyone can get implants. So, what's the alternative when dental implants are not a suitable solution?

Here's what you can eat after dental implant surgery and other tips that will help you heal faster.

The result of full mouth restoration is a beautiful smile and improved oral functionality. This blog will provide a detailed view of full mouth restoration to help you understand what the entire process entails.

If you are suffering from receding gums, you may wonder whether cosmetic dentistry can help fix your smile.

Read on in this blog from Eck Dental Partners to find out why wisdom teeth can cause these problems and how you can know if they should be extracted.

Are you curious about what orthodontic issues that Invisalign can help fix? Read this blog to learn more!

If you have questions about the dental implant healing process, we’re here to help. In this blog from Eck Dental Partners, we’ll take a quick look at the healing timeline, factors that can affect healing, how you can speed up your recovery, and more. Let’s get into the details.

Dr. Cody Eck is thrilled to expand on the legacy of patient-focused care that his predecessor, Dr. Penshorn, established here in Schertz. While Dr. Penshorn will still work at the practice, he’s pleased to pass the torch of practice owner so Dr. Eck can bring his specialized training and state of the art technology to our office...